
↓コイ耳石(星状石)の切断切片、きれいな輪紋(年輪)が見えます
かなり長寿であることがわかりますね。

↓Paracalanus属の仲間(カイアシ類=ケンミジンコ)は稚仔魚の主要なエサになります

↓トラフシャコの仲間(アリマ幼生) トラ年にちなんで。成体になるとトラ模様がきれいです。

↓小笠原で見られた、日本の固有種ユウゼン

↓サメハダホウズキイカの仲間(幼生)

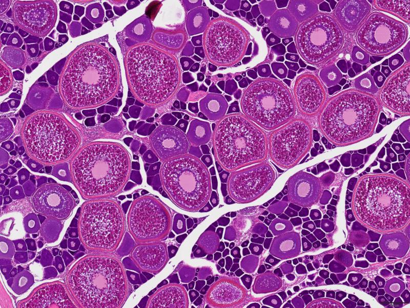
↓カツオの生殖腺切片(卵の熟度判定を行います)

2022.01.01

↓コイ耳石(星状石)の切断切片、きれいな輪紋(年輪)が見えます
かなり長寿であることがわかりますね。

↓Paracalanus属の仲間(カイアシ類=ケンミジンコ)は稚仔魚の主要なエサになります

↓トラフシャコの仲間(アリマ幼生) トラ年にちなんで。成体になるとトラ模様がきれいです。

↓小笠原で見られた、日本の固有種ユウゼン

↓サメハダホウズキイカの仲間(幼生)

↓カツオの生殖腺切片(卵の熟度判定を行います)
